domingo, 4 de abril de 2010
conclusion del proyecto
Las situaciones dadas a conocer por pacientes, familiares, especialistas en medicina y en la muerte misma, sobre personas enterradas vivas, errores médicos, la muerte, el duelo que culturalmente las personas afrontan, el marco legal de que debe ser tomada en cuenta para declarar el fallecimiento de una persona, historias sorprendentes y métodos para determinar la enfermedad que relaciona todas las consecuencias anteriores, la cataplejía.
sábado, 3 de abril de 2010
No solo las personas lo padecen

no es exactamente una persona que sufre de cataplejia, pero en condiciones parecidas podria resultar en un sueño tan profundo,y la insensibilidad de sus musculos seria tan minima que caeria al piso en cualquier momento,tendria posicisiones flexibles que el mismo por su estado de vigilia podria sorprenderse.
viernes, 2 de abril de 2010
diagnosticos
En un centro de desórdenes del sueño, el especialista realizará una minuciosa historia médica y un examen físico completo. Si sospecha de una narcolepsia someterá al paciente a dos exàmenes, una polisomnografía y a un test de latencias múltiples del sueño para confirmar la narcolepsia y determinar el grado de su severidad.
La polisomnografía se realiza en un laboratorio de sueño donde el paciente debe pasar una noche. Se le colocarán diversos electrodos sobre la piel en distintos lugares del cuerpo, para reistrar ondas cerebrales del sueño, actividad muscular, frecuencia cardíaca y movimientos oculares. Este examen no provoca molestias ni dolores al paciente a quien se le solicita dormir como lo hace todas las noches.
El teest de latencias múltiples se realiza al dia siguiente, sin quitarale los electrodos al paciente. Se le solicita que tome unas cinco siestas de 20 minutos cada dos horas.
Los pacientes narcolépticos tienen patrones de sueño diferentes a los de las personas que no padecen la enfermedad.
En la narcolepsia, el sueño REM (ensueños) frecuentemente comienza un poco tiempo después del inicio del sueño.
En consecuencia, los dos exámenes realizados conjuntamente, más el detalle de los síntomas permitirán al especialista establecer si es una narcolepsia u otro desorden del sueño que comparta algunos de los rasgos de la narcolepsia.
jueves, 1 de abril de 2010
causa de la Narcolepsia y la cataplejia
La cataplejia, parálisis del sueño y alucinaciones hipnagógicas van acompañadas de una pérdida del tono muscular que ocurre normalmente cuando se sueña en una etapa del sueño denominada REM ( movimiento rápido de los ojos que acompaña al sueño paradójico o ensueños). En la narcolepsia la pérdida de tono muscular y los ensueños suceden en ocasiones inapropiadas. La narcolepsia no es originada por afecciones psiquiátricas o problemas psicológicos.
martes, 30 de marzo de 2010
2% de la población padece narcolepsia
quien padece narcolepsia se quedan dormidos durante el día, sobre todo en condiciones que requieren poca actividad .
El estar sentados, en condiciones de poca movilidad como conducir leer, escribir etc.
Las persona pueden confundir la narcolepsia con falta de sueño , de vitaminas, cansancio somnolencia, pero aproximadamente el 2% de la población padece narcolepsia.
El 80% de los narcolépticos cuando están despiertos y se emocionan, entran en cataplejía.
Es un padecimiento multifactorial
lunes, 29 de marzo de 2010
La Narcolepsia

Es un trastorno del sueño, que lleva a impactos dramáticos en la vidas de las personas.
Los impactos pueden no ser tan graves si se diagnostica a tiempo, si no es asi puede llevar a la incapacidad de quien la padece.la caracteristica principal es la excesiva somnolencia diurna.
Entre sus síntomas mas comunes están la cataplejía, la somnolencia, parálisis y alucinaciones.
La narcolepsia no puede ser curada pero sus síntomas pueden ser controlados para que el paciente puede llevar una vida normal.Los que lo padecen deben ser tratados de manera personalizada debido a que cada persona la manifiesta de forma diferente
domingo, 28 de marzo de 2010
¿quienes son los tanatologos?
Un tanatologo es aquella persona que se encarga de estudiar los fenómenos que lleva consigo la muerte con los signos que se presentan inmediatamente después. Estos son la pérdida del conocimiento, respiración, sensibilidad y motilidad entre otras. Pero los signos pueden llegar a no ser tan diferentes a enfermedades que involucran tales síntomas como lo es la cataplejía o un paro cardio- respiratorio, pasando como una muerte aparente debido a que las funciones vitales llegan a su mínima expresión, siendo imperceptibles por métodos que no son tan especializados en el diagnostico .los métodos comúnmente utilizados son tomar el pulso ver la pupila con una linterna, escuchar el corazón y los reflejos etc.
Existen pruebas aun más precisas que logran acercarse al máximo a la determinación del estado de las personas como lo son tomar el PH de humores que pasan inmediatamente a la muerte de estado básico a acido, la prueba de Icard trata con fluorescencia intravenosa que en caso de haber circulación tiñe a la persona y esta toma un color amarillento, otra prueba tiene que ver con el hidrogeno sulfatado que está presente en caso que alguien haya muerto por el proceso de putrefacción y la prueba de leche marza y de Dominicis que a la vez miden el PH .
sábado, 27 de marzo de 2010
¿que es la cataplejia?
Los trastornos de sueño se relacionan íntimamente con esta enfermedad, la narcolepsia es una de ellas. Es común ver que un narcoleptico se les desfigure la cara tras un ataque, pues los músculos pierden fuerza, la parálisis normalmente dura pocos minutos pero se reportan casos de gente que ha durado un día con ellos.
Los músculos más afectados son los cervicales y los faciales, aun así no significa que no pueda afectar el resto del cuerpo. Consecuencias graves se registran tras sufrir la parálisis, ya que es inmediata y puede involucrar caídas fuertes hasta fractura y hematomas.
La ansiedad puede provocar la cataplejía, por una emoción en un momento concreto tal vez risa, ira, alegría, rabia y odio.
http://www.cosasdesalud.es/que-es-cataplejia/
viernes, 26 de marzo de 2010
La casa de los muertos
En Alemania “La casa de los muertos” era un lugar construido para albergar cadáveres en un lugar propicio y a la espera de signos de putrefacción. En Berlín, se le ataban hilos a los dedos de los enterrados y el otro extremos amarrado a gigantescas campanas que le anunciarían, en caso de movimiento, a quien cuidase los cementerios. En 1792 el duque Fernando Branwick construyo el primer ataúd de seguridad, este caracterizado por tener una ventanilla que permitía el paso de la luz y oxigeno, también tenía una tapa con cerradura en lugar de clavos y al interior dejaban las llaves con las que podría abrir la tapa. Por último inventaron el estereoscopio que permitía escuchar los latidos del corazón.
http://www.taringa.net/posts/novatos/786313/El-misterio-de-los-enterrados-vivos.html
jueves, 25 de marzo de 2010
enterrados vivos

Esta imagen es evidencia clara de personas que son enterradas vivas, podemos ver como fue momificada, tal vez debido al sulfato de la tierra son donde fue enterrada y además como toma su brazo como si se lo estuviese comiendo. Cuando una persona es enterrada y despierta dentro de un ataúd sin forma de poder salir, la desesperación e impotencia de saber que nadie podrá salvar lo que les resta de vida son los agentes que propician que la persona rasguñe el ataúd, cambie de posición, se coman sus propios miembros y tengan posibles gestos en su cara de angustias. En la imagen presentada son estas características encontradas en el cuerpo.
miércoles, 24 de marzo de 2010
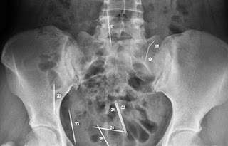
OBJETOS INTRACORPOREOS

La primera radiografía es la de un hombre que presenta un bisturí en su cavidad abdominal, este elemento quirúrgico como lo dice su nombre fue olvidado por los médicos cirujanos a la hora de terminar una operación. Me impresiona un poco la forma en la que el ser humano es capaz de sobrevivir con objetos que no pertenecen a nuestro organismos, tal vez estoy atribuyendo una cualidad de supervivencia a las personas, pero también doy como hecho una posible casualidad a que esta persona siguiese vivo, suerte, tal vez no era su hora todavía de morir, el señor tenía muchas defensas y un sistema inmunológico activo que no dejo avanzar tanto una infección al punto de quitarle la vida. Son muchas la hipótesis de la adaptación a un bisturí y también muchas las preguntas de ¿cómo este llego a ser olvidado por un personal médico?

Siguiendo con las radiografías encontré casos impresionantes de objetos como ajugas, tijeras, dispositivos electrónicos, dentro de diferentes partes del cuerpo. La forma en la terminaron estos objetos tienen diferentes motivos algunos por accidente, otros por negocio y por hacerle daño a estas .Algunos ni se enteraban que tenían estos objetos y vivieron gran parte de su vida con ellos.



martes, 23 de marzo de 2010
LA GASA OLVIDADA
Durante el proceso de dar a luz a su hijo, los médicos decidieron practicarle una cesárea. Pero lo que Chamber no sabía era que durante esa cirugía olvidarían en su cavidad abdominal una gran gasa.
Karnele se fue a su casa junto con su recién nacido, inevitablemente a las 2 dos semanas empezó a sentir dolores estomacales intensos por eso se dirigió de nuevo al hospital. Cuando la revisaron fue tal la sorpresa de los médicos al encontrar una gasa, “la gasa olvidada”. Chambers obtuvo una infección debido a ese olvido, dejando finalmente infértil.
La historia termina cuando la paciente recibe como indemnización 2,4 millones de dólares. Una vez más muestro con estos casos los errores fatales que terminan en discapacidad a quienes se someten a cirugías o inclusive a la misma muerte. Son hechos que parecen absurdos pero que si se empieza a ver resulta preocupante el porcentaje que adquieren en el diario de estas prácticas.
http://www.20minutos.es/noticia/286782/0/error/medico/florida/
lunes, 22 de marzo de 2010
Negligencia medica
Mullings acudió al hospital de Brooklyn por dichas molestias donde lo único que le diagnostican es cálculos con base en pruebas leves, la paciente relata a su médico que padece de propensión a infecciones. Sin darle mayor importancia los médicos no optan por una prueba de sangre que asegure que los procedimientos requeridos para extraer los cálculos no afecten a la paciente, solo le suministran cuidados leves y le dan de alta.
Al día siguiente Tabitha Mullings ingresa de nuevo al hospital pero esta vez con sus extremidades superiores e inferiores completamente agangrenadas dándole como única opción a los médicos para que prevaleciese su vida, la amputación. Se llego a la conclusión que la gangrena fue dada por su tendencia a infecciones después de ser tratada sin los cuidados necesarios frente a los cálculos que terminaron por quitarle sus piernas, brazos y además la afección del nervio óptico causando ceguera de su ojo izquierdo.
Los detalles que se deben tener en cuenta frente a cada enfermedad, los procedimientos adecuados en los pacientes, la buena comunicación entre paciente y médicos, la historia clínica son unos de muchos aspectos a tener en cuenta por ambas partes pues es mucho lo que se pierde si se dejan a un lado esos requerimientos.
http://www.20minutos.es/noticia/366201/l/
domingo, 21 de marzo de 2010
PINZAS DE 38CM OLVIDADAS

Un alemán llamado Norbert Pohl de 61años de edad, sufría de fuertes dolores estomacales, decidió entonces acudir al médico. Pohl al someterse a pruebas le descubrieron que sus molestias se debían a una obstrucción estomacal causada por unas pinzas de 38cm.
Estos elementos quirúrgicos fueron dejados dentro de su cavidad en el 2007 tras una cirugía. El tiempo en el que Pohl mantuvo las pinzas dentro de sí, terminaron dañando gran parte de su organismo y de esta forma tuvo que someterse a cuatro cirugías mas para su reconstrucción.
Actualmente se lleva a cabo una demanda por 12000 euros para aquellos olvidadizos.
http://www.20minutos.es/noticia/366201/l/
sábado, 20 de marzo de 2010
IATROGENIA
Es claro en la medicina que estos eventos se explican por sí solos, lo que debe preceder es una buena comunicación entre el médico, la institución (hospital o clínica), equipo médico (enfermeras y demás médicos si es el caso), con el paciente y/o familiares. También debe existir la completa responsabilidad de aquellos involucrados en el evento adverso, el apoyo emocional tanto al paciente y familiares como al médico, y por ultimo apoyo legal en caso de demanda por parte de familiares o del afectado a él medico por parte de la institución y el su personal.
Se espera finalmente que la iatrogenia sirva como ejemplo y lesión para ser aprovechada por parte de las entidades medicas y de esta forma la eviten al máximo. Hipócrates de Cos “Padre de la medicina” dice en Las Epidemias (libro1): “hay que describir lo pasado, conocer lo presente, predecir el futuro; practicar esto. Ayudar o al menos no hacer daño”. Con base en esta frase se puede decir dos cosas primero que el organismo o cuerpo humano es un “sistema caótico” donde la incertidumbre prevalece en todo momento diciendo así que la labor del cirujano es el manejo del riesgo y segundo que el médico cirujano debe ejecutar un procedimiento quirúrgico acercándose a la perfección. La idea es crear una cultura de seguridad del paciente y no culpabilizar a alguien.
Los principales afectados son el paciente, el médico y las familias del paciente. En casos de iatrogenia lo que se debe hacer ante todo es comunicar de manera clara y ética lo que sucedió. Este dialogo (entre medico, institución, paciente y familiar) se conoce como “disclosure” en la literatura anglosajona, y debe ser tomada en cuenta cuando existan lo siguiente casos según la Comisión conjunta:
•“Muerte del paciente
•Pérdida total de una extremidad u órgano
•Violación interinstitucional del paciente
•Robo de un niño hospitalizado
•Cirugía en el paciente equivocado
•Cirugía en el lado equivocado
•Transfusión de sangre a un paciente no compatible
•Transfusión de sangre al paciente equivocado
•Entrega de un niño a familia equivocada
•Abandono intra-corporeo de elementos quirúrgicos
•Suicidio paciente hospitalizado
•Diagnósticos inadecuados
•Tratamientos inadecuados
•Resultado adverso sin causa alguna”
Se hace primero para dar a conocer la situación al paciente siendo un derecho del afectado, y el ya tenga herramientas para tomar decisiones, también para discutir el error y aprender de él, para propiciar un ambiente claro, honesto y de confianza por parte del médico y la institución. El momento adecuado para el “disclosure” es cuando haya daño serio, particularmente en Colombia que culturalmente el valor de la vida es mínimo y las personas asesinan por razones menores.
La orientación actual es acercarse a una cultura de seguridad en la que la ciencia sea quien estudie y se aproxime cada vez más a prevenir la iatrogenia y ante todo que las entidades de salud brinden confianza y honestidad al paciente y familiares cuando un hecho imprevisto suceda viendo que tratan es con vidas.
viernes, 19 de marzo de 2010
LA PROBLEMATICA DE LAS ENTIDADES MEDICAS
Las fallas más comunes que se han encontrado en estudios hechos en las principales ciudades del país van desde accidentes instrumentales, caída de camillas hasta el exceso en la dosis de un medicamento y daño en algún procedimiento quirúrgico de órganos que no debían ser involucrados.
El secretario de salud Héctor Fabio Huseche dice estar muy preocupado por las estadísticas mostradas en las principales ciudades del país sobre la metodología médica y varios errores en el manejo de patologías. Huseche afirma “Esto puede ser el resultado de la Ley 100, que sólo pone a pensar en producir y que exige mirar a un determinado número de pacientes por hora. A veces no hay tiempo para que se haga un correcto diagnóstico”.
Son varios los problemas que presentan las entidades de salud, mas de 1040 hospitales y clínicas están realizando esfuerzos y capacitaciones para que la negligencia médica termine debido a que son vidas con lo que se trata es asi como lops médicos deben especializarse cada vez mas.
Hay casos reportados según el periódico el pais que muestran lo gravedad de dichos errores estos son:
“• Cali. En enero, una pequeña murió, al parecer, después de que dos centros médicos se negaran a atenderla.
• Barranquilla. Un laboratorio le diagnosticó sida a una paciente de manera equivocada.
• Bogotá. Una bebé murió luego de que le inyectaran adrenalina en lugar de vitamina k.
Cifras
• 15 por ciento de los pacientes en el mundo se han visto afectados por los errores médicos.
• 84 por ciento de los casos colombianos son eventos leves y moderados
jueves, 18 de marzo de 2010
Sin Signos Vitales, Marco Legal
•Ausencia de respiración espontánea.
•Pupilas persistentemente dilatadas.
•Ausencia de reflejos pupilares a la luz.
•Ausencia de reflejo corneano.
•Ausencia de reflejos óculo vestibulares.
•Ausencia de reflejo faríngeo o nauseoso.
•Ausencia de reflejo tusígeno.
El diagnóstico de muerte encefálica no es procedente cuando en la persona exista cualquiera de las siguientes causas o condiciones que la simulan pero son reversibles:
•Alteraciones tóxicas (exógenas).
•Alteraciones metabólicas reversibles.
•Alteración por medicamentos o sustancias depresoras del sistema nervioso central y relajante muscular.
•Hipotermia.
El diagnóstico de muerte encefálica y la comprobación sobre la persistencia de los signos de la misma, deben hacerse por dos o más médicos no interdependientes, que no formen parte del programa de trasplantes, uno de los cuales deberá tener la condición de especialista en ciencias neurológicas. Dichas actuaciones deberán constar por escrito en la correspondiente historia clínica, indicando la fecha y hora de las mismas, su resultado y diagnóstico definitivo, el cual incluirá la constatación de los siete (7) signos que determinan dicha calificación.
http://es.wikipedia.org/wiki/Muerte_cerebral
miércoles, 17 de marzo de 2010
¿Que es la muerte clinica?
“El diagnostico de muerte es un ejercicio de juicio practico, que no debe dar certidumbre absoluta” dice el doctor J. L. Trueba
http://es.wikipedia.org/wiki/Muerte_cerebral
http://www.cfnavarra.es/salud/anales/textos/vol30/sup3/suple5.html
¿La muerte hace parte de la vida?

Al observar esta imagen recuerdo momentos tristes como la muerte de uno de los seres que más he querido en mi vida, mi abuelo. Recuerdo cuando llego el momento de su muerte y con esta la hora de despedirnos en lo que llamamos socialmente un funeral o entierro.
El dibujo ilustra ese acto que culturalmente ha sido establecido cuando una persona fallece, se puede ver que todas las personas se visten de negro o blanco por respeto, pues los colores muy vivos pueden ser vistos como muestra de felicidad y poca importancia hacia la persona que haya muerto. Junto con esto vemos que son muchas las personas que asisten a este funeral, en el fondo de la imagen se siguen viendo personas que probablemente se dirigen hacia dicho funeral dando la idea que a un entierro van personas que han compartido, reído llorado , también han aprendido, de pronto peleado con un ser que hizo parte y ya se fue de la vida de cada persona que asiste al entierro y lo único que les quedara es el recuerdo .
Algo que sobresale son las flores que llevan estos seres cercanos a el difunto, tal vez sea muestra del último regalo que estas personas puedan ofrecerle. Sus caras no son dibujadas demostrando con ello que todos son iguales es decir que comparten un mismo dolor y una misma perdida.
Esta imagen revela los detalles que socialmente conocemos cuando todos nos enfrentamos a la muerte. Para algunos esta situación es más soportable, a otros llega a transformar totalmente lo que nos resta de vida, llegando así a la conclusión que la muerte hace parte de la vida, esta llegara en algún momento y hasta ahora todos han pasado por esta ya sea muriendo o viendo morir.
martes, 16 de marzo de 2010
EL VALOR DE VIVIR –Elogio y razón del duelo De cómo el ser humano aborda la muerte del ser muy querido.
Explica Cobo que al momento de escuchar y comprobar la muerte de una persona importante, dicha muerte se bifurca en: el luto que es la cara que las personas presentamos ante la sociedad y el duelo que es la parte íntima, una lucha interna. El autor integra los acontecimientos posibles del duelo y le hace saber al lector cuando este duelo puede convertirse en enfermedad basándose en casos clínicos.
El recorrido general por los caminos de la muerte, por decir el estudio del duelo y nuestra forma de enfrentarla son claramente representados en los tres libros Carlos Cobo y es él quien nos deja como reflexión que el dolor moral y el trance por la pérdida de un ser querido es más que un agente de maduración de las personas que pasan por esto.
ARS MORIENDI – Vivir hasta el final (De cómo se afronta la muerte anticipada)
Varían los tipos de felicidad la primera de disfrutar la vida sin saber de la muerte, la segunda vivir a pesar que se conoce a muerte y la ultima y mas sublimada la de vivir con la muerte.
Carlos Cobo Medina habla de el duelo anticipado que es vivir la muerte de un ser querido y el auto duelo desvivirse hacia un sin vivir. El autor presenta en su proyecto una ciencia llamada “Ars Moriendi” que se desenvuelve en el ayudar a morir y a morirse. El estudio es basado en casos clínicos con ayudas psíquicas espirituales y físicas.
El autor explica en su segundo libro llamado “Ars Moriendi – Vivir hasta el Final” explica todos los avances y casos de ayuda al duelo de la muerte de ser humano.
Los tópicos de la muerte - la gran negación
Las creencias y vivencias sobre la muerte son arquetipos que el ser humano elabora y la hace parte de sí mismo como una estructura de la cual se fundamenta su vida. Estos arquetipos son independientes de algún nivel intelectual o cultural y están constantemente en el hombre.
Los tópicos surgen involuntariamente en los momentos más dolorosos de la vida de un ser humano, como lo son la muerte de un ser querido o la propia muerte y es aquí cuando llega el momento de la gran negación.
El autor Carlos Cobo Medina estudia en su primer tomo “los tópicos de la muerte-La gran negación”, los diferentes duelos y formas de negación del hombre contra su destino final.
lunes, 15 de marzo de 2010
Introducción a la muerte humana , muerte individual y colectiva
El autor basa su trabajo en los hispanos, diciendo de ellos que han optado por negar la muerte desgarradora y a la vez se llevan en ese olvido la reflexión del ser, su caducidad y trascendencia; dedicando su tiempo a vivir el día a día.
Cobo da como ejemplos dos “tipos” de muertes: la intima y la colectiva.
La muerte colectiva es una muerte anónima y corriente en la que hombre no se escandaliza por ser considerada inevitable. Ejemplos de esta son muertos de guerras o de películas etc.
Por otra parte la muerte íntima es la que lleva al ser humano a un dolor por ser único, tal vez un amor, una vida única que tiene plazo fijo pero indeterminado.
El hombre tiene que llevar esta muerte como un duelo propio, un hecho injusto e intransmisible. La muerte individual es “quien” obliga a él ser humano a tratar de opacarla y hacerle frente.
viernes, 5 de febrero de 2010
La ciudad ideal y la construcción de sentido
Cuando se quiere reflexionar sobre la ciudad y su conexión con diferentes ámbitos de la vida como el arte, la estética, la sensibilidad, la percepción, la sensación, el azar, hace que tenga sentido dicha reflexión que simplemente resulta ser carente de relación lógica con otras. La intervención que un ciudadano puede hacer sobre su ciudad puede variar en forma y de ello parten las construcciones diferentes que hacen acción y abordan la ciudad real, la ideal y soñada.
Al mismo tiempo se pretende a un ciudadano sensible y consiente de la misma, que desarrolle su propio significado y perspicacia, búsqueda y análisis de su ciudad, y ante todo que la viva, que viaje atreves de ella y experimente territorios desconocidos y conocidos, vías reales e irreales y de esa forma logre enlazarlos. La ciudad además de ser el elemento esencial de construcción, reflexión, relaciones e interposición, también se puede referir a esta como un proyecto de lo que ha de transformarse; todo siempre y cuando el ciudadano sea un partidario de la ciudad, que la aborde y la posea, y termine siendo constructor de ella y de sí mismo.
Sabremos comprender a la ciudad como una estructura y una distribución, cuando este orden no se quiera llenar. Pero si se puede lograr una intervención con el ciudadano que es quien la hace real y es como se podría dar a entender que es el ciudadano quien arma su existir en la ciudad, su travesía, sus expansiones, logros, caducidad y muerte. Solo es real aquella ciudad si se ha viajado por ella y por uno mismo dando ciudades reales humanas o ideales y utópicas; es decir si existe la ciudad existe el ciudadano en la misma condición, si se construye ciudad se forman ciudadanos, todo en estrecha relación. Cuando es él quien logra conocer los medios y herramientas para acceder a la ciudad, el sentido de aquellas intervenciones son comprendidas y adquieren sentido.La instalación en la ciudad debe ser resultado de la necesidad de cambiar, transformar y que los otros ciudadanos perciban y comuniquen esa sensación.
La ciudad mirada es aquella que está siendo apropiada, intervenida y construida. La ciudad es entonces el objeto y el ciudadano es el sujeto realizando interacciones que al final son los sueños. Esta actuación es trascendental ya que el ciudadano la necesita para llevarla con él y hacerla suya, entonces se dice que este orden se basa en el movimiento y no se detendrá. Cada movimiento del ciudadano es una huella más sobre su ciudad.
Ya sabiendo esto el ciudadano deberá aprender a dominar la totalidad de la ciudad y unir aquella real que vive, la ideal que se proyecta y la soñada que anhelamos.
